https://www.dailymail.co.uk/health/a...ush-penis.html
ouch
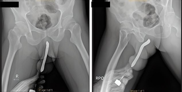
Eye-watering injury of Indonesian man, 43, who shoved a toothbrush into his penis which snapped during sex
- The unnamed 43-year-old waited 12 hours before seeking medical attention
- The man confessed to using the toothbrush for his own 'sexual satisfaction'

.
Comment